Un fármaco diseñado para el alzhéimer muestra efectos en el glioblastoma
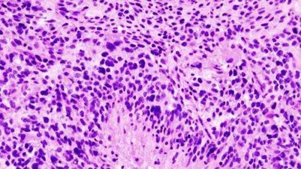
Un fármaco diseñado para tratar la enfermedad de Alzheimer, verubecestat, ha demostrado ser prometedor para el tratamiento del glioblastoma El estudio, dirigido por la Clínica Cleveland (EE.UU.), ha sido publicado en «Nature Cancer». Se trata de los medicamentos llamados inhibidores de BACE1, que se emplean para tratar la enfermedad de Alzheimer y que actúan inhibiendo la proteína llamada BACE1, responsable de producir placas de β-amiloide en el cerebro. Sin embargo, después de demostrar una escasa eficacia en los ensayos clínicos, el campo de la neurociencia se ha alejado de los inhibidores de BACE1. Pero se sabe que esta proteína también se expresa en una clase de células inmunitarias, llamadas macrófagos asociados a tumores (TAM), que se encuentran en el microambiente del tumor o en los componentes de células no cancerosas de los tumores sólidos. Y este tipo de células son particularmente abundantes en el glioblastoma, lo que llevó a este equipo de investigación a preguntarse si los inhibidores de BACE1 podría ser efectivos para tratar o prevenir la forma altamente agresiva de cáncer de cerebro. «Hay dos tipos principales de TAM», explica Shideng Bao, que dirige el Centro de Investigación de Células Madre del Cáncer». Si podemos desarrollar un tratamiento que manipule este equilibrio, inclinar la balanza para que haya más TAM supresores de tumores, tal vez podamos tratar mejor el glioblastoma «La mayoría de los TAM promueven los tumores y contribuyen a la resistencia al tratamiento, pero hay algunos que los suprimen. Si podemos desarrollar un tratamiento que manipule este equilibrio, inclinar la balanza para que haya más TAM supresores de tumores, tal vez podamos tratar mejor el glioblastoma» Los investigadores seleccionaron una amplia gama de compuestos para identificar los candidatos más prometedores contra los macrófagos promotores de tumores (pTAM), y hallaron un inhibidor de BACE1 llamado MK-8931 (verubecestat) que, en un modelo de glioblastoma, reprogramó los pTAM en macrófagos supresores de tumores (sTAM). Como resultado, los sTAM más abundantes ayudaron a destruir las células tumorales, incluidas las células madre del glioma, que son un tipo de célula cancerosa particularmente agresiva que puede autorrenovarse y repoblar un tumor. «Descubrimos que estos cambios redujeron significativamente el crecimiento del tumor. Los beneficios fueron aún más pronunciados cuando se administró verubecestat en combinación con radiación de dosis baja, ya que esto mejora la infiltración de TAM en el tumor», añade el Bao. Estos cambios redujeron significativamente el crecimiento del tumor. Los beneficios fueron aún más pronunciados cuando se administró verubecestat en combinación con radiación de dosis baja «Verubecestat ya había sido aprobado para su uso en sus pruebas previas para la enfermedad de Alzheimer -afirma Bao-, lo que ayudaría a acelerar la traducción de nuestros prometedores hallazgos preclínicos. Este es un beneficio importante de la reutilización de fármacos: poder cerrar la brecha entre la investigación preclínica y las pruebas clínicas, que a menudo puede ser un proceso largo».Fuente Salud https://ift.tt/3CNQo1P
via abc.es
No hay comentarios
Publicar un comentario